Salivary Gland Surgery
There are 3 pairs of major salivary glands in the Head & Neck region. These are parotid glands - below and in front of your ears, submandibular glands - under your lower jaw and sublingual glands in the floor of the mouth. There are also many minor salivary glands present in the lips, cheeks and palate.
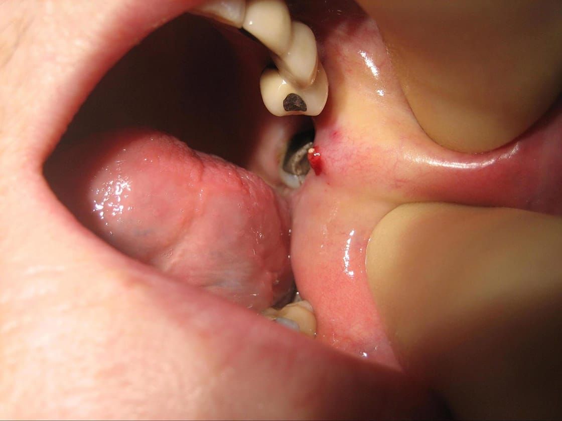
All these glands produce saliva which empties into your mouth via small tubes (or ducts). The parotid duct empties into the mouth in the cheek next to your upper second molar teeth, whilst the submandibular and sublingual ducts empty into the floor of mouth under your tongue.
Saliva has a number of important functions:
- Aiding digestion by breaking down food
- Helps in chewing and swallowing
- Protects your teeth
- Lubricates the mouth lining thus helping with speech
- Allows your tongue to taste
Common problems which can affect both the major and minor salivary glands are:
- obstruction by salivary stones
- infection
- cysts or tumours in the glands
The management of these conditions varies according to your diagnosis. Small stones can be easily removed via sialendoscopy.
Sialendoscopy
This is a minimally invasive procedure similar to key-hole surgery, where a very small camera is inserted into the ducts through their natural openings in the mouth. The benefits of sialendoscopy are thus less swelling, pain, bleeding, infection and a faster recovery. Its completed in one visit as a day case procedure.
Before sialendoscopy was available, stones/narrowings in the submandibular duct would necessitate the need to remove the entire gland – with potential complications such as facial weakness, tongue numbness and weakness. Now we can reduce this risk by minimally invasive procedures such as sialendoscopy. However, there are still certain cases that warrant removal of the whole gland, which is carried out under a General Anaesthetic.
See below for images of stone removal from left parotid duct.



